情報誌「C&C」
Care & Communication

  • C&Cトップページへ
  • 戻る

情報誌「C&C」Care & Communication

2019. December Vol.50

【ご注意】このページに掲載の内容は原則的に2019年12月20日現在のものです。

オールページPDF

DOCTOR'S TALK

小児歯科からファミリー歯科へ。
親子の連携プレーで患者の歯を一生守る

医療法人いつき会 よしみファミリー歯科・矯正歯科
理事長/院長 吉見 二朗 先生
前・理事長/院長 吉見 正樹 先生

理事長/院長  吉見 二朗 先生|前・理事長/院長  吉見 正樹 先生

医療法人いつき会 よしみファミリー歯科・矯正歯科
  • 医療法人いつき会 よしみファミリー歯科・矯正歯科
  • 医療法人いつき会 よしみファミリー歯科・矯正歯科
  • 医療法人いつき会 よしみファミリー歯科・矯正歯科

「よしみファミリー歯科・矯正歯科」は、1979年の開業以来、小児歯科として地域に溶け込んできた。吉見二朗理事長/院長が引き継いだ昨年から一般歯科も開始。これまでの歩みとこれからの展望を伺ってみた。

  • ・40年前に市内でも珍しい小児歯科専門の歯科医院として誕生
  • ・院長の継承を機に院内を全面リニューアル
  • ・リニューアル後、訪問歯科にも新しく取り組む
  • ・スタッフ教育に力を入れ、世代を越えて診る歯科医院に

Profile

吉見 二朗 先生

●2009年 大阪歯科大学卒業 ●2010年 医療法人 健志会 ミナミ歯科クリニック ●2014年 医療法人 健志会 ミナミデンタルデザインクリニック梅田 院長に就任 ●2018年 医療法人 いつき会 よしみファミリー歯科・矯正歯科 理事長に就任 ●日本顎咬合学会 噛み合わせ認定医 ●前歯でも噛める入れ歯認定医 ●大阪歯科大学 高齢者歯科学講座 非常勤研修医 ●日本顎咬合学会 日本口腔インプラント学会 日本顕微鏡歯科学会 日本睡眠歯科学会 日本摂食嚥下リハビリテーション学会 日本老年歯科医学会 大阪SJCD 会員

医療法人いつき会 よしみファミリー歯科・矯正歯科

住所:大阪市都島区友渕町2丁目12-21高倉グリーンマンション109
TEL:06-6925-0418 HP:https://yoshimi-dc.com/

THE FRONT LINE

明確に目標を積み重ねて開業。
全員が幸せになる歯科医院を目指す

やすえデンタルクリニック
院長 安江 徹 先生

院長  安江 徹 先生

やすえデンタルクリニック
  • やすえデンタルクリニック
  • やすえデンタルクリニック
  • やすえデンタルクリニック

奈良県大和高田市にある「やすえデンタルクリニック」は国道沿いの広々とした敷地に立つ大型歯科医院だ。開業から3年経ち、これまでの歩みと今後を伺ってみた。

  • ・広々とした敷地に建つ国道からも目立つ瀟洒な建物
  • ・プランニングの記録ノートで開業までの道のりを乗り越える
  • ・予防重視の診療方針で、スタッフの働く環境も整える
  • ・訪問診療や最新治療にも積極的に取り組む

Profile

安江 徹 先生

●2008年 愛知学院大学歯学部卒業。愛知学院大学総合診療部に勤務 ●2009年から「ヘルスコープ大阪 生協森の宮歯科」「医療法人LAX かにえ歯科」副院長を務める ●2016年 やすえデンタルクリニック開業 ●日本歯周病学会 ●藤本研修会 ●大橋矯正コース ●PEC受講 ●大森塾1期生

やすえデンタルクリニック

住所:奈良県大和高田市藤森171-7
TEL:0745-22-1133 HP:http://yasue-dental.com/

DENTAL REPORT

レーザー療法実践応用講座
歯内療法における偶発症に対する
Nd:YAGレーザーの応用

文京瀧田歯科医院
院長 瀧田 稔弥 先生

院長  瀧田 稔弥 先生

文京瀧田歯科医院
  • 文京瀧田歯科医院
  • 文京瀧田歯科医院
  • 文京瀧田歯科医院
  • 文京瀧田歯科医院
  • 文京瀧田歯科医院
  • 文京瀧田歯科医院

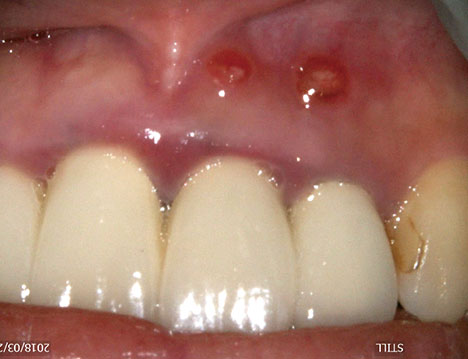
東京・本郷の「文京瀧田歯科医院」の瀧田稔弥院長はすべての治療にマイクロスコープを使用している。「C&C」49号では歯科医院を紹介したが、今号では実際にマイクロスコープを用いて、とくに専門の歯内療法でNd:YAGレーザーをどのように活用しているのか、症例を教えていただいた。

  • ・レーザーを用いた破折ファイルの除去
  • ・根尖孔外ガッタパーチャ(GP)除去、搔爬

Profile

瀧田 稔弥 先生

●2001年 日本大学歯学部卒業 ●2002年 日本大学歯学部付属歯科病院歯内療法科大学院。歯学博士取得 ●2006年 東京都神津村歯科診療室勤務。日本大学歯学部付属歯科病院歯内療法科勤務 ●2008~2013年 東京と埼玉の歯科医院に勤務 ●2010~2012年 ペンシルバニア大学歯学部歯内療法学講座インターナショナルプログラム受講 ●2014年 文京瀧田歯科医院開業 ●日本大学歯学部付属歯科病院歯内療法学 非常勤講師 ●日本歯科保存学会専門医 ●日本臨床歯内療法学会 ●日本歯周病学会

文京瀧田歯科医院

住所:東京都文京区本郷3-15-1 美工本郷ビル2階
TEL:03-5615-8424 HP:http://www.bunkyo-takita.com/

INSIDE REPORT

歯科技工士が長く働ける環境を築き、
次世代に未来を託す歯科技工所

デンタルラボ匠
代表取締役 西塚 春義 先生

代表取締役  西塚 春義 先生

デンタルラボ匠
  • デンタルラボ匠
  • デンタルラボ匠
  • デンタルラボ匠

青森県青森市にある「デンタルラボ匠」は、スタッフ8名を抱える歯科技工所だ。今年5月に床面積を拡大した技工所を新築した。開業からの歩み、これからの歯科技工について伺ってみた。

  • ・CAD/CAMを導入した新しい歯科技工所を建設
  • ・歯科技工は心でするもの。人脈で仕事を広げる
  • ・歯科技工士の仲間とともに公私ともに充実した人生を

Profile

西塚 春義 社長

●1972年 東北歯科総合専門学校卒業。三金工業(現デンツプライシロナ)に入社 ●1973年 青森に戻り、歯科技工所に勤務 ●1980年 西塚歯科技工所設立 ●2005年 現在地に移転 ●2019年 移転新築し、名称をデンタルラボ匠に改称

デンタルラボ匠

住所:青森県青森市大字新城字山田117
TEL:017-787-0818