バックナンバー
C&C Vol.632024. April【ご注意】このページに掲載の内容は原則的に2024年4月22日現在のものです。
All Page PDF
DENTAL REPORTC&C Vol.63 2024 April
歯科医院の建て替えを機に
衛生環境の区分けを徹底。
さらなる医療の充実を目指す
![]()
医療法人医療法人育人会
桔梗が丘大門歯科医院
理事長 大門 弘治 先生
三重県名張市にある「桔梗が丘大門歯科医院」は2023年4月、歯科医院を建て直した。気持ちも新たに、さらなる充実した歯科医療の提供に取り組む意気込みを伺った。
- 理事長就任を機に2度目の建て替えを決意
- 予防と治療のゾーンを徹底して分けた設計に
- 一般歯科とインプラントの専門性を合わせ持つ診療
- 少数精鋭のマンパワーを活かす環境と勤務制度
桔梗が丘大門歯科医院
住所:三重県名張市桔梗が丘2-1-1
TEL:0595-65-5158
HP:https://daimon-dc.jp
大門 弘治 先生
●1996年 大阪歯科大学卒業 ●2000年 勤務医を経て、父が理事長を務める桔梗が丘大門歯科医院に院長として勤務 ●2022年 父の引退を機に理事長に就任。歯科医院を建て替える ●2003~2006年 三重県歯科医師会学術委員 ●2006~2009年 三重県歯科医師会学術委員長 ●厚生労働省認定歯科医師臨床研修指導医 ●日本口腔インプラント学会専門医 ●Osseo Skarp Instituteインプラント研修コース講師 ●アストラテックインプラント講師 ●SIMPLANT講師
DOCTOR'S TALKC&C Vol.63 2024 April
神戸市で初めての
歯内療法の専門医院を開業。
地域の歯科医院の受け皿に
![]()
DAIKI DENTAL CLINIC
院長 辰巳 大貴先生
「DAIKI DENTAL CLINIC」は、神戸市で初めての歯内療法専門の歯科医院として2022年1月に開業した。開業までの経緯や歯内療法への思いを伺った。
- 勤務医時代に歯内療法の勉強に本格的に取り組む
- 歯内療法を通じて兵庫県の患者に医療貢献
- 丁寧なカウンセリングで患者の決断をサポート
歯内療法の症例紹介 歯の保存を可能にする歯内療法の力
症例.1:穿孔を伴う根尖性歯周炎に対して非外科的歯内療法を行った症例
症例.2:外科的歯内療法を併用して根尖性歯周炎の治療を行った症例
DAIKI DENTAL CLINIC
住所:兵庫県神戸市中央区明石町30 常盤ビル402
TEL:078-381-7510
HP:https://www.daiki-dentalclinic.com/
辰巳 大貴 先生
●2014年 昭和大学歯学部卒業。奈良県立医科大学附属病院口腔外科学講座に入局 ●2016年 医療法人社団辰巳歯科医院に勤務 ●2019年 PESCJ Class of 2020に参加 ●2022年 DAIKI DENTAL CLINIC開業 ●米国歯内療法学会(AAE) ●日本歯内療法学会(JEA) ●日本顕微鏡歯科学会
INSIDE REPORTC&C Vol.63 2024 April
移転を機に父親の歯科医院と
同じビルの別フロアに移転。
親子で好影響を与え合う
![]()
医療法人デンタルハート
Y'sデンタルクリニック
院長 吉木 雄一朗 先生
「Y'sデンタルクリニック」は都市型の歯科医院。2022年、父親の歯科医院があるビルの別フロアに移転拡張した。リニューアルへの思いや親子で切磋琢磨する様子を伺った。
- 前回の取材から7年を経ての変化
- 健康的な美のイメージをブランディング強化で表現
- お互いに尊敬する心が親子の絆を強める
医療法人デンタルハート Y'sデンタルクリニック
住所:名古屋市中区栄 3-7-12サカエ東栄ビル5階
TEL:052-228-9007 HP:https://www.ys-dc.jp/
吉木デンタルクリニック
住所:名古屋市中区栄 3-7-12サカエ東栄ビル9階
TEL:052-263-6211 HP:http://www.yoshiki-dc.jp/
吉木 雄一朗 先生
●2004年 日本歯科大学歯学部(現生命歯学部)卒業 ●2008年 吉木デンタルクリニック勤務 ●2009年 Y'sデンタルクリニック開業 ●2012年 USC(University of Southern California)歯学部 ●2022年 医療法人デンタルハート Y'sデンタルクリニックを移転新築 ●日本顎咬合学会咬み合わせ認定医 ●日本歯科審美学会会員 ●日本臨床歯科学会名古屋支部理事 ●USCアメリカ南カリフォルニア大学歯学部客員研究員 ●公益社団法人日本口腔インプラント学会会員
吉木邦男 先生
●1974年 日本歯科大学歯学部(現生命歯学部)卒業 ●1984年 吉木デンタルクリニック開業 ●2012年 医療法人デンタルハート設立 ●米国UCLA大歯学部ポストグラジュエートコース修了 ●国際ナソロジー学会マスター ●日本顎咬合学会咬み合わせ指導医 ●日本顎咬合学会評議員 ●日本顎咬合学会中部支部監事 ●日本臨床歯科学会監事 ●日本臨床歯科学会名古屋支部監事 ●日本臨床歯周病学会会員
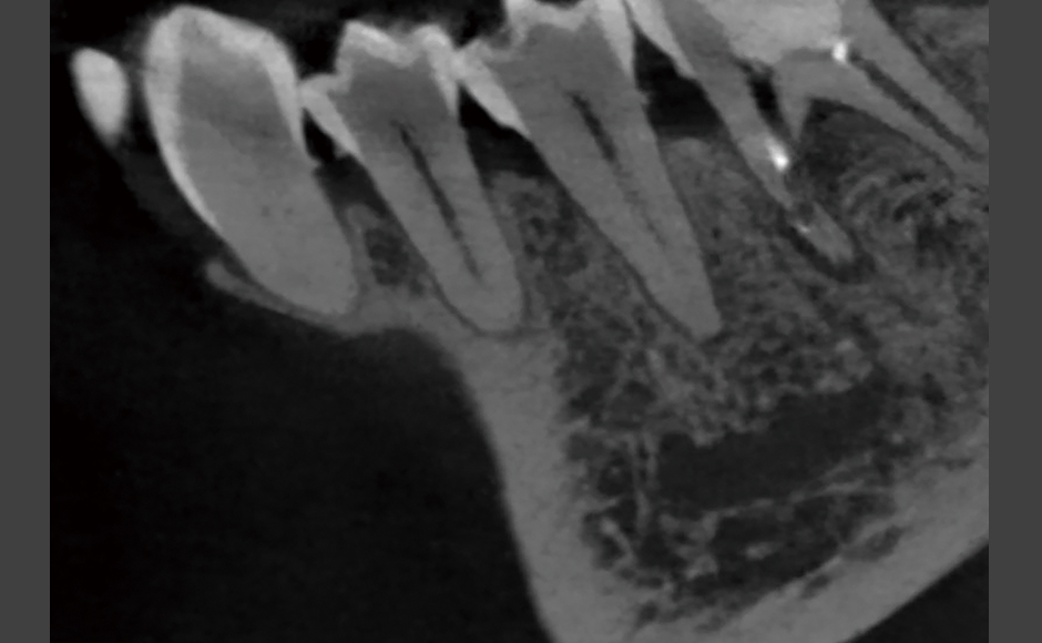
THE FRONT LINEC&C Vol.63 2024 April
レーザー療法実践応用講座
嚢胞様透過像が認められる症例に
対し、Nd:YAGレーザーを
根管内から直接アプローチした症例
![]()
医療法人社団 BTDC文京瀧田歯科医院
理事長 瀧田 稔弥 先生
瀧田先生は2022年に「医療法人社団BTDC」を設立し、理事長に就任。根管治療専門医院の「本郷瀧田歯科医院」(小林寛院長先生)を分院として開業しました。二つの歯科医院が連携して治療にあたると共に、本郷瀧田歯科医院では、根管治療の紹介や症例相談にも対応しています。
- レーザー症例1 他院より精査加療依頼
- レーザー症例2 左上奥歯が腫れて痛いとのことで急患来院。先週までは目の下まで腫れていたが、今は治ってきているとのこと。
- レーザー症例3 左上奥歯がズキズキ痛む。
医療法人社団 BTDC文京瀧田歯科医院
住所:東京都文京区本郷3-15-1 美工本郷ビル2階
TEL:03-5615-8424
HP:https://www.bunkyo-takita-dental-clinic.com
瀧田 稔弥 先生
●2001年 日本大学歯学部卒業 ●2002年 日本大学歯学部付属歯科病院歯内療法科大学院。歯学博士取得 ●2006年 東京都神津村歯科診療室勤務。日本大学歯学部付属歯科病院歯内療法科勤務●2008~2013年 東京と埼玉の歯科医院に勤務 ●2010~2012年 ペンシルバニア大学歯学部歯内療法学講座インターナショナルプログラム受講 ●2014年 文京瀧田歯科医院開業 ●2022年 根管治療専門医院 本郷瀧田歯科医院を分院として開業 ●日本大学歯学部付属歯科病院歯内療法学 非常勤講師 ●日本歯科保存学会専門医 ●日本臨床歯内療法学会 ●日本歯周病学会


















