バックナンバー
C&C Vol.662025.May【ご注意】このページに掲載の内容は原則的に2025年4月28日現在のものです。
All Page PDF
DENTAL REPORTC&C Vol.66 2025 May
小児の頃から歯を守る
予防を診療の根幹に据え
1日160人の患者を診る
![]()
医療法人HIMAWARI 歯科診療所ひまわり
理事長 井上 博 先生
三重県四日市市の「歯科診療所ひまわり」は、地域密着の大型歯科医院。治療も予防と地続きとして考える診療で成長してきた。その歩みと今後を伺った。
- 患者の増加に伴い現在地に移転新築
- 小児の床矯正が患者増のきっかけに
- 1人の歯科衛生士が院内の潤滑油を担う
- 人材確保を考え、新たな分院を構想
医療法人HIMAWARI 歯科診療所ひまわり
住所:三重県四日市市広永町1172-1
TEL:0120-402-762
HP:https://www.himawari-mc.com/himawari/
井上 博 先生
●1998年 愛知学院大学歯学部卒業 ●2005年 歯科医院での勤務医を経て、歯科診療所ひまわり開業 ●2012年 医療法人HIMAWARI設立。理事長に就任 ●2019年 津市に分院の「ここあ歯科」開業 ●2020年 現在地に移転新築 ●日本床矯正研究会 ●日本口腔インプラント学会 ●日本アンチエイジング歯科学会 ●日本歯周病学会 ●愛知インプラントセンター所属
INSIDE REPORTC&C Vol.66 2025 May
実家の神社を守りながら
夫婦の二人三脚で地域医療に貢献
![]()
安蘇谷歯科
院長 安蘇谷 幸治 先生
栃木県佐野市の「安蘇谷歯科」は開業14年目。安蘇谷幸治院長は実家の神社との両立を考え、歯科医師になった。奥様の千弘さんと力を合わせ、地域医療に貢献する日々を伺った。
- 神社の存続も考え歯科医師の道を選ぶ
- 勉強とリサーチを重ね信頼される歯科医院に
- 歯科衛生士になった妻のサポートでV字回復
- 夫婦の連携プレーで1日70人の患者を診療
安蘇谷歯科
住所:栃木県佐野市田沼町543-4
TEL:0283-62-4428
HP:https://www.asoyashika.com/
安蘇谷 幸治 先生
●2003年 日本大学松戸歯学部卒業 ●2011年 安蘇谷歯科開業
DOCTOR'S TALKC&C Vol.66 2025 May
親⾝な治療と丁寧な説明、
独⾃のスタッフ教育で
患者から頼られる⻭科医院
![]()
医療法人学歯会 中山歯科
理事長 中山 宗 先生 副院長 中山 明子 さん
大阪府堺市の「中山歯科」は開業して25年。台湾出身の中山理事長を頼る外国籍の患者も多い。親身な治療を続けてきた歩みとこれからを伺った。
- 開業2年余りで移転し、3階建てを新築
- 台湾から23歳で来日し、歯科医師の道へ
- 安心感を生む患者との深い信頼関係
- 組織のあり方を見直しより成長を遂げる
医療法人学歯会 中山歯科
住所:大阪府堺市堺区戎島町3-3
TEL:072-233-8299
中山 宗 先生
●1995年 松本歯科大学卒業。千葉大学医学部附属病院 歯科・顎・口腔外科の研修医に。口腔外科を学び、麻酔科でも研修を受ける ●2000年 勤務医を経て、中山歯科を開業 ●2003年 現在地に移転新築 ●2007年 医療法人学歯会設立。理事長に就任
中山 明子 さん
●1996年 関西女子短期大学保健科 歯科衛生士コース卒業 ●2000年 中山歯科開業 ●2019年 同歯科副院長に就任 ●「人財マネジメント」会社設立 ●大阪歯科大学附属病院口腔インプラント科研修歯科衛生士(非常勤) ●日本口腔インプラント学会インプラント専門歯科衛生士
THE FRONT LINEC&C Vol.66 2025 May
精度の高い治療を誠実に積み重ね、
頼られる歯科医院に成長
![]()
iデンタルオフィス
院長 飯久保 正純 先生
東京都文京区千駄木にある「iデンタルオフィス」。都市型歯科医院として精度の高い治療を提供し、成長してきた。その歩みと今後を伺った。
- レトロモダンな街にある大人向けの歯科医院
- 開業3年は苦労続き。少しずつ患者が増える
- さらにプロ意識の高いスタッフを育てたい
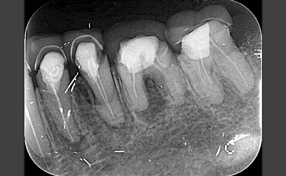
レーザーの応用による効果的な根管治療 症例1:多数歯に対してのレーザー使用 症例2:歯根嚢胞に対し外科的処置とレーザー併用
iデンタルオフィス
住所:東京都文京区千駄木3-26-10 グランプラス千駄木1F
TEL:03-5842-1483
HP:https://www.i-dental-office.jp/
代表取締役 髙田 太郎 社長
●1988年 新東京歯科技工士学校卒業。医療法人社団弘進会宮田歯科 技工室に入局 ●2001年 医療法人社団弘進会宮田歯科 技工室を退職。デンタルサポート株式会社技工事業部デンタルスタジオ入社 ●2005年 デンタルサポート株式会社技工事業部デンタルスタジオ所長就任 ●2008年1月 デンタルサポート株式会社技工事業部デンタルスタジオ退社 ●2008年2月 株式会社ワールド・インテリジェンス・ジャパン設立















